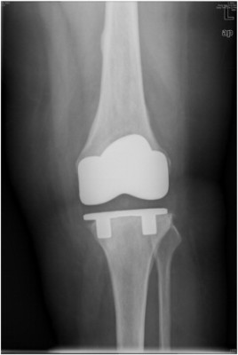
Zimmer NexGen Knee Plaintiffs Reach Settlement Deal
After years of legal maneuvering and court proceedings, the plaintiffs who filed product liability lawsuits against Zimmer Biomet regarding the defendant’s NexGen knee implant have agreed to a settlement arrangement. The news will likely be a huge relief to these plaintiffs, who have been waiting... Read More
