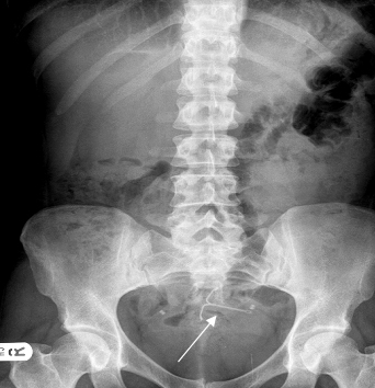
Louisiana Woman’s Mirena Injury Lawsuit Survives Motion to Dismiss
A Louisiana woman’s Mirena injury lawsuit has survived a motion to dismiss by Bayer Pharmaceuticals. A federal judge ruled on September 23 that new information set forth in Latoya Thompson’s affidavit create an issue of fact over whether her Louisiana Product Liability claims were filed... Read More
