Mirena Migration Leads to Hysterectomy, Plaintiff Alleges
Mirena manufacturer Bayer Healthcare Pharmaceuticals is facing a new lawsuit that claims migration of the IUD led to severe internal injuries and the need for a hysterectomy. The plaintiff is seeking damages from Bayer for injuries that she calls “severe and permanent” in her complaint.
This plaintiff joins hundreds of other women who have filed similar lawsuits claiming the Mirena IUD caused significant and permanent injuries.
Mirena lawsuit details
Alicia Sloan filed her Mirena IUD lawsuit in the U.S. District Court for the District of New Jersey on October 30, 2015. Currently, most of the cases filed in federal courts involving the contraceptive device are coordinated into multidistrict litigation in the Southern District of New York. It remains to be seen whether this case will be transferred to that court as well, since it appears no transfer request has been filed at this time.
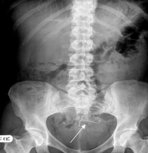
Sloan alleges she had her Mirena IUD inserted on September 23, 2010. At the time of the procedure, neither Sloan nor her medical provider had any reason to suspect there were any problems with the procedure or the device. However, on April 29, 2014, Sloan was informed by medical providers that they were unable to see her Mirena IUD during a pelvic examination.
Upon further investigation, it was discovered that Sloan’s IUD had migrated outside of her uterus and was now located in her abdominal cavity. On December 16, 2014, many months after the migration of the Mirena was discovered, Sloan underwent a laparoscopic procedure to remove the IUD. A hysterectomy was also performed at that time, allegedly due to the injuries incurred by the device.
Damages sought for surgery, possible infertility issues
Sloan is now seeking damages from Bayer for her injuries, which include unwanted surgery and potential future difficulty getting pregnant. At the time of the IUD removal, Sloan was in her mid-30s, well within child-bearing age. Sloan claims she has also incurred significant expenses for medical treatment and experienced loss of past and future earnings as a result of her injuries.
Sloan is far from the first to seek legal action against Bayer as a result of alleged defects associated with the Mirena IUD. Many other women have also filed lawsuits against the pharmaceutical giant, claiming the device led to serious injuries and complications. Plaintiffs are also alleging Bayer failed to provide proper warning about the risks associated with their device, leaving women unknowingly vulnerable to the dangers.
Adverse reports associated with Mirena IUD
The FDA has received more than 45,000 adverse reports involving the Mirena IUD, filed by patients who have suffered serious complications from the device. Spontaneous migration of the IUD, which Sloan experienced nearly four years after the initial implantation, has caused perforation of the uterus, unintended pregnancy and damage to abdominal organs in numerous patients.
If pregnancy occurs while the Mirena IUD is still in the woman’s body, it can result in life-threatening complications for both the unborn child and mother. If the IUD damages organs, it can lead to the necessity of additional surgery such as a hysterectomy. Mirena migration is commonly linked to chronic pain, painful intercourse and the need for surgical removal.
Sloan is seeking compensatory, punitive and exemplary damages for her injuries and the negligence she attributes to Bayer in the marketing and distribution of their Mirena IUD.
- U.S. District Court, Southern District of New York, In Re: Mirena Products Liability Litigation, http://www.nysd.uscourts.gov/mdl/13MD02434
- FDA, Mirena (Levonorgestrel-Releasing Intrauterine System) July 2008, http://www.fda.gov/Safety/MedWatch/SafetyInformation/Safety-RelatedDrugLabelingChanges/ucm121936.htm
- U.S. National Library of Medicine, The Wandering Mirena: Laparoscopic Retrieval, http://www.ncbi.nlm.nih.gov/pmc/articles/PMC3134688/

Resources
Resources